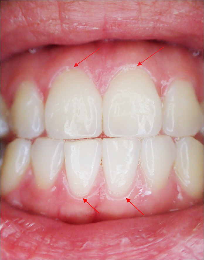
잇몸과 치아가 만나는 (사진에 화살표로 표시한) 부분을 치경부라고 함.
이곳이 마모되는 것이 치경부 마모증.
치경부가 마모되면(=얇아지면) 치아의 신경과 가까워지면서 쉽게 이가 시리게 됨.


치아의 모양으로 봐도 치경부가 신경과의 거리가 가장 가까움.
찬물을 마실 때나,
입술을 열고 이를 닫은 (쉽게 말해 양치질할 때 '이~'하고 있는) 상태에서 '쓰읍'하고 공기를 들이마실 때
이가 시리다면 치경부마모증일 확률이 매우 큼.
주로 좌우로 양치질하는 와중에 치경부가 닳게 되어서 증상이 나타나는 경우가 대부분인 듯.
치료방법은 간단함.
얇아져서 문제이니 얇아진 부분을 '무엇인가'로 메꿔주면 됨.
하지만 여기서 그 '무엇'인가를 선택할 때가 어려움.
보통 치과에서는 두 가지를 제시하여 선택하기 어렵게 만듦.
바로 '레진'과 'GI(지아이, glass ionomer)'
치과에서 설명을 들어보거나 인터넷으로 검색해보면,
레진 : '심미적=(육안으로 티가 잘 안 난다는 의미로)'이고 잘 안 떨어지고 온갖 장점이 있고, 다만 보험이 안 되어 비쌈(약 10만 원)
GI : 레진과 반대.(티가 잘 나고, 잘 떨어지고, 대신 보험 되어 쌈, 약 만원)

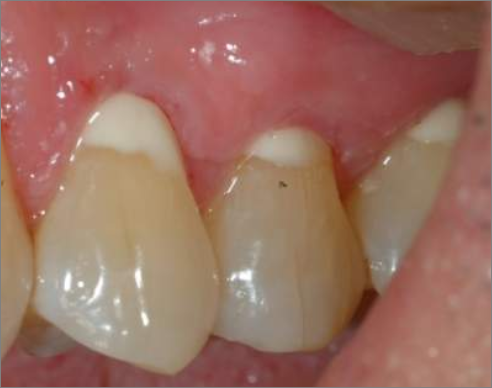
이 사진이 GI라는데,, 당연히 GI가 꺼려질 수밖에.. 그러나..
보통 치료해야 할 치아가 3~4개.
GI로 하자니 티가 나고, 잘 떨어질 수 있다고 하니 찝찝하고,
레진으로 하자니 가격이 부담스럽고...
여러 가지 자료를 찾아보다 유튜브에서 한 치과의사의 영상을 보고 GI로 결정함.
그 치과의사 曰
: "공짜로 할 수 있으면 레진, 내 돈 내고 할 거면 GI,
가격은 10배 차이, 성능은 1.5배 차이,
만약 GI가 떨어지면 또 하면 됨"
GI로 치료한 지 6개월째인데 아직까지 아무 문제없음.
치료한 부분이 티가 날 수 있다고 해서 좀 걱정했는데,,,
치료하고 나서 어디 어디 했다며 거울을 보여주는 데 어디에 했다는 건지 못 찾겠음.
치과에서 경황이 없어서 못 봤나 싶어 집에 와서 입술 뒤집어 까고 쳐다봐도 못 찾겠음.
치료과정도 매우 간단, 메꾸는데 5분도 안 걸림.
(다만, GI를 치경부에 메꿔준 후 굳혀주기 위한 대기 시간이 5~10분 정도 추가됨).
치료효과도 당연하지만 매우 좋음.
이렇게 간단한 거 진즉에 할 걸 왜 오랫동안 이가 시린 채로 살았을까 하고 후회함.
추가) 그동안 익숙해져서 까먹고 있었는데,, 처음 GI로 치료하고 나서 눈으로는 티가 안 나지만,
혀끝으로 만져보면 뭔가 까끌까끌한 느낌이 나고 그래서 양치질하고 나서도 뭔가 안 닦인 느낌이 남.
이점은 레진으로 한다고 해서 달라질지는 잘 모르겠음.(어쨌든 없던 부분이 생긴 거니..)
아무튼 이 것도 시간이 지나니 익숙해져서 지금은 전혀 불편함이 없음.
나중에 시간이 더 지나서 문제가 생기면 다시 업데이트하도록 하겠음
'전체보기 > 생활정보' 카테고리의 다른 글
| 욕실 수건걸이 교체 비용 절약- 가루 날리지 않게 타일 안 깨트리고 구멍 뚫기 (0) | 2020.11.18 |
|---|---|
| [실내 잠긴 방문 열기]카드로 어려워요...이것(?)으로 10초만에 열기 (1) | 2020.11.18 |
| 페트병으로 막힌 변기 뚫는법-소소한 꿀팁포함 (0) | 2020.11.18 |
| 이사할 집의 가구배치, 파워포인트와 엑셀로 미리 해보는 방법(허접주의) (0) | 2020.11.16 |
| 월광보합 9D 2700 게임 리스트 -엑기스 모음 여러가지 버전 다운로드 가능 (0) | 2020.11.11 |